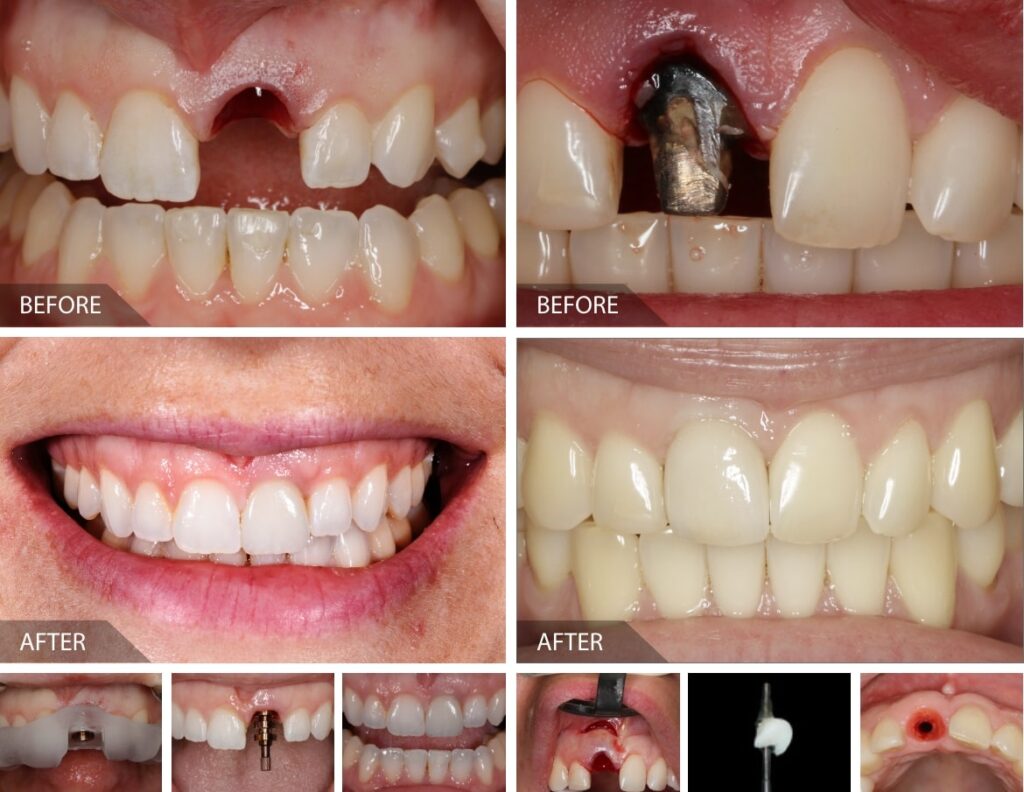
Dr. Praveen Kurapati Implant dentist in Kondapur/ Madhapur
Dr. Praveen Kurapati is Kondapur/ Madhapur's leading dental implant specialist, renowned for expertise in cutting-edge techniques and procedures. As a Board Certified Periodontist, Dr. Praveen Kurapati has earned recognition for exceptional implant dentistry, showcased in prominent media outlets.
At our state-of-the-art dental implants center, we leverage the latest advancements in Hyderabad to deliver unparalleled care. Our arsenal of innovative technologies includes high-precision microscopes and cutting-edge lasers.
We pride ourselves on using only the finest medical-grade titanium or titanium alloy for tooth implants, paired with the latest bone grafting materials to ensure optimal bone regeneration.
With experience, precision, and high-quality materials, we craft aesthetically perfect tooth implants that exceed expectations.
